News

Ihre Auswahl

forschen / 17.12.2025
Synapsen bei der Arbeit zusehen

© Jana Kroll Charité/Max Delbrück Center
© Jana Kroll Charité/Max Delbrück Center

Der Moment, in dem eine Nervenzelle ihre Neurotransmitter in den synaptischen Spalt ausschüttet, ist extrem kurz. Berliner Forschenden um Jana Kroll und Christian Rosenmund ist es gelungen, ihn mikroskopisch einzufangen. Die Aufnahmen der fusionierenden Vesikel zeigen sie in „Nature Communications“.

Der Vorgang dauert nur wenige Millisekunden: Ein Vesikel, gefüllt mit Neurotransmittern und nur ein paar Nanometer groß, nähert sich der Zellmembran, verschmilzt mit ihr und gibt seine Botenstoffe an den synaptischen Spalt ab – sodass sie sich dort an die nächste Nervenzelle heften können. Ein Team um Professor Christian Rosenmund von der Charité – Universitätsmedizin Berlin hat diesen für die Arbeit des Gehirns entscheidenden Moment in mikroskopischen Bildern festgehalten. Wie sie das geschafft haben, beschreiben die Berliner Forschenden im Fachblatt „Nature Communications“.

Punktförmige Verbindungen

„Niemand wusste bisher, wie die Fusion der synaptischen Vesikel mit der Zellmembran im Detail abläuft“, sagt die Erstautorin der Studie, Dr. Jana Kroll, die mittlerweile in der Arbeitsgruppe „Strukturbiologie Membran-assoziierter Prozesse“ von Professor Oliver Daumke am Max Delbrück Center forscht. „In unseren Experimenten mit Mäuse-Neuronen konnten wir zeigen, dass sich zunächst eine punktförmige Verbindung bildet. Dieser winzige Stiel erweitert sich dann zu einer Pore, durch die die Neurotransmitter in den synaptischen Spalt gelangen“, erläutert Kroll.

„Mithilfe der über fünf Jahre hinweg entwickelten Technologie ist es zum ersten Mal gelungen, Synapsen bei der Arbeit zuzusehen, ohne sie dabei zu stören“, ergänzt Rosenmund, Letztautor der Publikation und stellvertretender Direktor des Instituts für Neurophysiologie der Charité. „Jana Kroll hat hier echte Pionierarbeit geleistet“, sagt der Wissenschaftler, der auch zum Vorstand des Excellenzclusters NeuroCure gehört.

Entstanden sind die Aufnahmen in der CFcryo-EM (Core Facility for cryo-Electron Microscopy), der gemeinsamen Technologie-Plattform von Charité, Max Delbrück Center und FMP (Leibniz-Forschungsinstitut für Molekulare Pharmakologie), die von Dr. Christoph Diebolder geleitet wird. Maßgeblich an der Studie beteiligt waren zudem Professor Misha Kudryashev, Leiter der Arbeitsgruppe „In Situ Structural Biology“ des Max Delbrück Center, und Dr. Magdalena Schacherl, die an der Charité die Arbeitsgruppe „Strukturelle Enzymologie“ leitet.

Schockgefroren in Ethan

Um die Synapsen in Echtzeit zu beobachten, hat das Team Nervenzellen von Mäusen genutzt, die sie zuvor mithilfe der Optogenetik so verändert hatten, dass die Zellen durch ein Lichtsignal aktiviert werden – und daraufhin sofort beginnen, Neurotransmitter auszuschütten. Innerhalb von ein bis zwei Millisekunden haben die Forschenden die Neuronen dann in minus 180 Grad Celsius kaltem Ethan schockgefroren. „Alle zellulären Vorgänge stehen bei diesem Verfahren, dem Plunge Freezing, sofort still und können elektronenmikroskopisch sichtbar gemacht werden“, erläutert Kroll.

Dabei stießen die Forschenden auf ein weiteres interessantes Detail: „Wir konnten erkennen, dass die meisten der fusionierenden Vesikel über kleine Filamente mit mindestens einem weiteren Vesikel verbunden sind – sobald ein Vesikel mit der Zellmembran verschmilzt, steht schon das nächste bereit“, berichtet Kroll. „Wir gehen davon aus, dass diese direkte Form der Vesikel-Rekrutierung es ermöglicht, dass Neurone auch über einen längeren Zeitraum hinweg Signale senden und so ihre Kommunikation aufrechterhalten können.“

Epilepsien besser behandeln

Die Fusion der Vesikel, die das Team visualisiert hat, findet in unseren Gehirnen jede Minute millionenfach statt. Den Prozess im Detail zu verstehen, ist auch für medizinische Zwecke wichtig: „Bei vielen Menschen mit Epilepsie oder anderen Erkrankungen der Synapsen sind Mutationen in Proteinen bekannt, die an der Vesikelfusion beteiligt sind“, erklärt Rosenmund. „Wenn wir die genaue Rolle dieser Proteine aufdecken, können wir leichter zielgerichtete Therapien für solche Synaptopathien entwickeln.“

„Der vor uns vorgestellte Ansatz für eine zeitaufgelöste Kryo-Elektronenmikroskopie mittels Licht ist zudem nicht auf Neurone beschränkt, sondern lässt sich in vielen Bereichen der Struktur- und Zellbiologie anwenden“ ergänzt Kroll. Sie selbst möchte ihre Experimente jetzt am Max Delbrück Center zunächst mit menschlichen Neuronen wiederholen, die sie aus Stammzellen gewinnt. Eine leichte Aufgabe werde das allerdings nicht, kündigt die Forscherin an: „Die Zellen benötigen im Labor rund fünf Wochen, bis sie erste Synapsen entwickeln, und sind dabei extrem empfindlich.“

Das Max-Delbrück-Centrum für Molekulare Medizin in der Helmholtz-Gemeinschaft legt mit seinen Entdeckungen von heute den Grundstein für die Medizin von morgen. An den Standorten in Berlin-Buch, Berlin-Mitte, Heidelberg und Mannheim arbeiten unsere Forschenden interdisziplinär zusammen, um die Komplexität unterschiedlicher Krankheiten auf Systemebene zu entschlüsseln – von Molekülen und Zellen über Organe bis hin zum gesamten Organismus. In wissenschaftlichen, klinischen und industriellen Partnerschaften sowie in globalen Netzwerken arbeiten wir gemeinsam daran, biologische Erkenntnisse in praxisnahe Anwendungen zu überführen – mit dem Ziel, Frühindikatoren für Krankheiten zu identifizieren, personalisierte Behandlungen zu entwickeln und letztlich Krankheiten vorzubeugen. Das Max Delbrück Center wurde 1992 gegründet und vereint heute eine vielfältige Belegschaft mit rund 1.800 Menschen aus mehr als 70 Ländern. Wir werden zu 90  Prozent durch den Bund und zu 10  Prozent durch das Land Berlin finanziert.

Die Charité – Universitätsmedizin Berlin gehört mit mehr als 100 Kliniken und Instituten an vier Campi sowie 3.293 Betten zu den größten Universitätskliniken Europas. Mit Charité-weit durchschnittlich rund 20.600 und konzernweit durchschnittlich rund 24.300 Beschäftigten gehört die Berliner Universitätsmedizin auch 2024 zu den größten Arbeitgebern der Hauptstadt. Die Charité ist als Institution der Spitzenmedizin führend in der Diagnostik und Behandlung besonders schwerer, komplexer und seltener Erkrankungen. Sie genießt weltweit hohes Ansehen und verbindet als Medizinische Fakultät und Universitätsklinikum erstklassige Krankenversorgung mit exzellenter Forschung und Innovation sowie mit moderner Lehre und hochwertiger Ausbildung. Im Mittelpunkt stehen dabei immer der Mensch und seine Gesundheit. Im Sinne der translationalen Forschung werden wissenschaftliche Erkenntnisse in Prävention, Diagnostik und Therapie übertragen und aus klinischen Beobachtungen wiederum neue Forschungsansätze entwickelt. Ziel der Charité ist, die Medizin der Zukunft zum Wohl der Patient:innen aktiv mitzugestalten. Mehr Informationen: www.charite.de

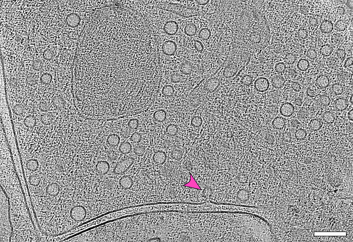
Das Bild zeigt den ultrakurzen Moment, in dem ein Vesikel (Pfeil) mit der Zellmembran fusioniert. Durch die Überlagerung mehrerer elektronenmikroskopischer Bilder – die Elektronentomographie – wird sichtbar, wie viele Vesikel am Ende einer Nervenzelle darauf warten, ihre Botenstoffe in den synaptischen Spalt abzugeben. Dieser Zwischenraum zwischen zwei Nervenzellen ist in der Aufnahme, die in der CFcryo-EM (Core Facility for cryo-Electron Microscopy) entstanden ist, als doppelte Linie zu erkennen. © Jana Kroll Charité/Max Delbrück Center

Quelle: Gemeinsame Pressemitteilung der Charité – Universitätsmedizin Berlin und des Max Delbrück Center
Synapsen bei der Arbeit zusehen

Alle News im Überblick

News Buch Berlin

Synapsen bei der Arbeit zusehen

Der Moment, in dem eine Nervenzelle ihre Neurotransmitter in den synaptischen Spalt ausschüttet, ist extrem kurz. Berliner Forschenden um Jana Kroll und Christian Rosenmund ist es gelungen, ihn mikros...

weiter ...

Das neue Standortjournal buchinside ist erschienen

Lesen Sie jetzt die neue buchinside mit dem Titelthema "Entdecken, erfinden, ausgründen – wie Innovation in der Biomedizin gelingt"

weiter ...

Neuer Podcast zum Start-up PROSION Therapeutics am Zukunftsort Berlin-Buch

Die Zukunftsorte Berlin sprechen in einer neuen Folge ihres Podcasts mit Dr. Slim Chiha, CEO und Gründer von PROSION Therapeutics. Das Biotech-Start-up entwickelt eine neuartige Wirkstoffplattform, d...

weiter ...

Termine Buch Berlin

06.01.2026, 16:00
Vorlesung und Lehrerfortbildung: "Wenn das Immunsystem das Gehirn angreift – Autoimmunerkrankungen des zentralen Nervensystems"

Vorlesungsreihe: Neue Wege in der Biomedizin: Aktuelle Forschungsthemen vom Campus Berlin-Buch. Für Lehrkräfte, Schülerinnen und Schüler sowie Interessierte.

weitere Informationen

20.03.2026, 08:45
Einladung: UniStem Day für Berliner Schülerinnen und Schüler aus Biokursen

Das German Stem Cell Network (GSCN) lädt die an Biologie interessierten Berliner Schülerinnen und Schüler (Biologie-Leistungskurse und Grundkurse) mit ihren Lehrkräften herzlich zum UniStem Day – zum ...

weitere Informationen

Sponsoren der Website: